皇冠信用网在线注册_河南一老人做冠脉造影手术时一截导丝断在血管中!院方回应
世界杯皇冠信用网平台(www.hg0088.us)为您提供最新登1登2登3代理网址,包括新2登1登2登3代理手机网址,新2登1登2登3代理备用网址,皇冠登1登2登3代理最新网址,近日,来自河南汝州的高女士反映称,她的父亲在河南省胸科医院做冠脉造影手术时,手术所用导丝末端断裂,一截导丝被遗留在血管中皇冠信用网在线注册。“父亲原本就有血栓,担心随着父亲年龄增长,病情会加剧。”
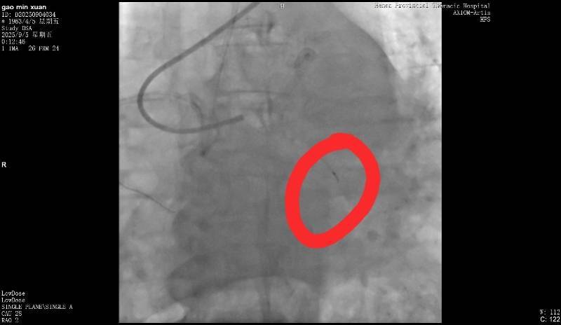
9月30日,涉事医院医患办公室工作人员告诉南都N视频记者,术后院方组织了相关科室会诊,判断回旋支指引导丝远段断裂,与患者回旋支弥漫性动脉硬化重度狭窄病变及钙化有关皇冠信用网在线注册。如果患者需要做医疗事故鉴定,院方将全力配合。目前仍在与该病人家属进行协商。

断裂的导丝皇冠信用网在线注册。受访者供图
病人家属:担心遗留导丝会加剧病情
高女士向南都记者介绍,其父亲今年62岁,去年因冠心病在河南省胸科医院做过支架植入手术皇冠信用网在线注册。今年9月2日,因感到胸闷,其父亲再次到该医院复查。
9月5日,高女士父亲在该医院做冠脉造影,手术进行了近3个小时皇冠信用网在线注册。高女士回忆说,手术结束后,负责手术的医生告诉她,“在微创探查体内的时候,一截导丝断裂。”当高女士询问能否再次实施手术取出时,医生表示因病患年纪较大,开胸手术存在危险,并没有取出的必要。但对于遗留导丝会否在后续造成长期影响,该医生则称“无法确定”。
高女士提供的病程记录显示,“手术操作过程中出现回撤导丝困难,送入微导管尝试至坎顿处未成功,退出微导管时远段导丝断裂,多途径尝试取出断裂导丝均未能成功皇冠信用网在线注册。”资料还指出,“通过复查造影,回旋支近段残余狭窄小于30%,未见明显夹层、无复流。”
南都记者留意到,该病程记录给出了心血管外科一病区会诊意见,称“回旋支内见离断的介入导丝,外科取出导丝意义不大,建议内科治疗”皇冠信用网在线注册。
高女士认为,父亲原本就有血栓,按照医院的说法,他的血管狭窄、钙化严重,其担心随着父亲年龄增长,情况会加剧皇冠信用网在线注册。她表示,目前有两个诉求,一是希望医院能给予一定金额的赔偿;二是由医院对接能做开胸手术的医院,必要情况下协助垫付一定费用。
涉事院方:可配合做相关医疗鉴定
9月30日,南都记者联系涉事医院医患办咨询,接线人员表示,目前已了解高女士的诉求,正积极与高女士进行协商皇冠信用网在线注册。
该名接线人员表示,该患者入院后,诊断冠心病、急性冠脉综合征,手术指征明确皇冠信用网在线注册。“术前已与患者及家属沟通病情,告知其冠脉造影及冠脉支架植入术的必要性及相关风险。”
这一说法可以在高女士提供的病程记录中得到印证皇冠信用网在线注册。相关记录显示,9月4日,手术医师进行查房,随后与患者及家属沟通病情,告知其冠脉造影及冠脉支架植入术的必要性及相关风险,其中提及,术后可能出现支架再狭窄或支架内血栓形成,可造成相关脏器急性缺血坏死或功能障碍,危及生命,以及导丝、导管、鞘管等术中所用材料断裂、打折等,必要时需要外科手术治疗。
该医患办工作人员向南都记者解释称,术后院方组织了相关科室会诊,判断回旋支指引导丝远段断裂,与患者回旋支弥漫性动脉硬化重度狭窄病变及钙化有关皇冠信用网在线注册。“如果患者需要做医疗事故鉴定,院方将全力配合。如果对方经济困难,医院愿意垫付费用做鉴定。”其还表示,医院将根据第三方相关鉴定,承担院方该承担的责任。
南都记者了解到,当前高女士向医院提出30万的索赔,院方认为索赔数目太高,建议走司法程序进行司法鉴定,以此明确医院的过错及比例,如果家属对血管里的导丝感到担心,医院可先补偿8000元皇冠信用网在线注册。
高女士表示,当前她已将诉求反映至省卫健委有关部门,正在进一步等候处理中皇冠信用网在线注册。
采写:南都N视频记者 林诗妍
猜你喜欢
- 11分钟前皇冠信用网出租代理_天津市委政法委分管日常工作的副书记王红卫跨省份履新江苏省高院党组书记
- 11分钟前皇冠信用网出租代理_教育局通报“河南一男孩校内意外死亡”:经初步调查,已排除刑事案件
- 11分钟前皇冠信用网出租代理_邵佳一:若有像日本那么多的海外球员,进世界杯将成中国足球常态
- 21小时前皇冠信用网正版开户_上海一厅局级干部突然辞职,刚40岁出头!离开体制后,他比以前更忙了,全职创业究竟值吗?
- 21小时前皇冠信用网正版开户_打虎!新疆生产建设兵团党委常委、副司令员李旭被查!
- 2天前体育皇冠信用网_以媒:伊朗军方警告将对特朗普和内塔尼亚胡“敌对言论”作出回应
- 2天前体育皇冠信用网_高市早苗亲手断了自己的后路!中国两柄大锤落下,美早已无力相救
- 2天前体育皇冠信用网_姆巴佩伤情分析:超级杯决赛有望复出,专家称恢复期偏短
- 2天前皇冠代理登入 _明天进“三九”,北京周六至下周一最低气温-9℃!出门穿暖和了
- 2天前皇冠退水 _与马杜罗关押在同一地点,委内瑞拉前情报主管或成美政府“关键证人”
- 3天前世界杯足球平台代理_瓜迪奥拉评曼联解雇阿莫林:三场主场拖住脚步,本可逼近阿森纳
- 3天前皇冠welcome注册账号_刚拿下马杜罗,特朗普一脚踹向普京,关键时刻变脸,打乱了俄乌局势
- 3天前皇冠welcome注册账号_美媒:特朗普或做出重大误判 石油巨头另有考量?
- 3天前皇冠welcome注册账号_厦门警方:张某(女,59岁)作案后当场自杀身亡
- 3天前皇冠信用网怎么注册_马杜罗被掳之后,高市早苗紧急喊话中国递橄榄枝,但对特朗普避而不谈
- 3天前皇冠信用网怎么注册_日本梅毒感染扩散,病例数连续4年超1.3万例
- 3天前皇冠信用网怎么注册_被拐17年的马仔昊认亲成功!母亲泣不成声拉住手“再也不放开了”,杜小华:替他们开心,相信“小米奇”也一定能找到
- 3天前皇冠信用网怎么申请_炮衣摘掉,枪已上膛!14艘执法船包围台岛,中国海警做好拦截准备
- 3天前皇冠信用网怎么申请_美防长:我们忙着当世界警察,看看中国在干啥
- 3天前皇冠信用网如何注册_马杜罗被抓,武契奇动摇了,关键时刻中国扛大旗,王毅发出最强音
- 3天前皇冠信用网如何注册_李在镕逛北京朝阳京东MALL买走100个labubu,还看了海信163寸大电视,店员称“三星副会长也来了”
- 3天前皇冠信用网如何注册_詹姆斯-哈登因右肩僵硬缺席快船对勇士:伤情、数据与轮换考验
- 3天前皇冠2登录welcome_西方几乎一片沉默,这个欧洲大国站出来了,向特朗普的暴行说“不”!
- 3天前皇冠2登录welcome_睡梦中的“斩首”:马杜罗为何没能跑进那道钢门?细节骇人听闻


网友评论